公司简介
平台展示
组织架构
荣誉资质
知识产权
发展历程
企业文化
测序分析服务
细胞生物学实验
分子生物学实验
动物学实验
组织病理学实验
其他平台
药物筛选研究
药物有效性评价
动物疾病模型构建
药物安全性评价
药代动力学研究
经典案例
行业新闻
报告下载
【 微信扫码咨询 】
025-87183621
139-1599-6230
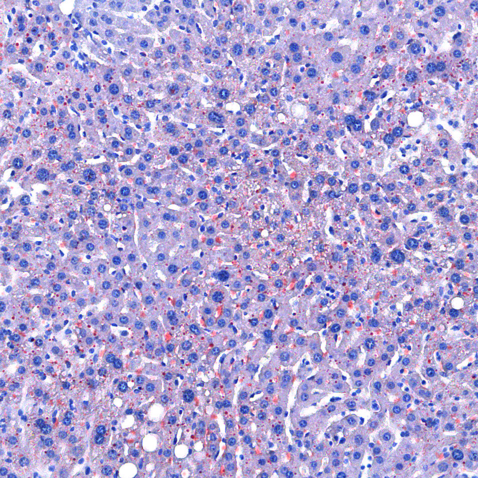
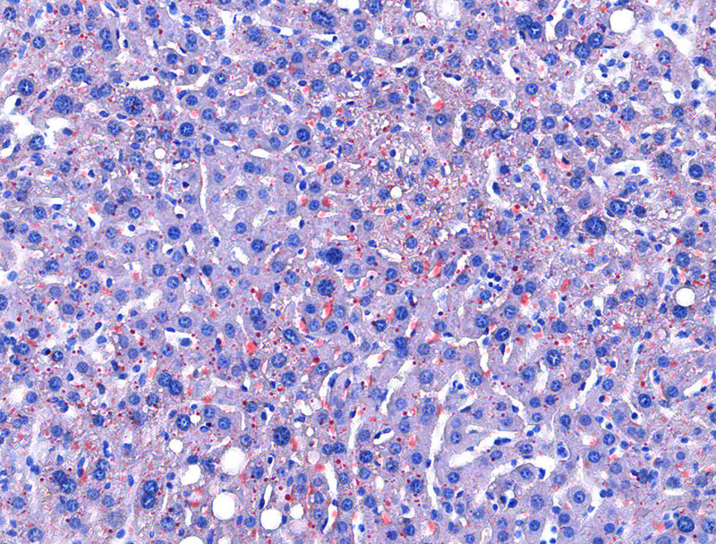
技术原理 油红O对脂滴的染色机制一般认为是物理学上的溶液作用或吸附作用,借溶液作用使脂质染色,即油红O先溶于60%异丙醇中,然后切片浸入油红O染液中时,油红O在组织脂质的溶解度较60%异丙醇中的溶解度高,所以在染色时油红O从60%异丙醇中转移入脂质中使脂滴显示红色。实验流程实验结果展示:&
技术原理
油红O对脂滴的染色机制一般认为是物理学上的溶液作用或吸附作用,借溶液作用使脂质染色,即油红O先溶于60%异丙醇中,然后切片浸入油红O染液中时,油红O在组织脂质的溶解度较60%异丙醇中的溶解度高,所以在染色时油红O从60%异丙醇中转移入脂质中使脂滴显示红色。
实验流程
实验结果展示:
<<>油红O-肝>
送样运输要求
1、样本放置于20倍样本体积的固定液中固定24h以上,常温运输送样。切勿固定时间过长,切勿冷冻结冰。
2、新鲜组织干冰运输。
3、冰冻切片-20℃运输。
公司地址:南京市六合区新港湾路166号协合智谷产业园16-3栋
联系电话:025-87183621
手机号码:139-1599-6230
公司邮箱:sales@do-gene.cn
扫码关注公众号
客服微信