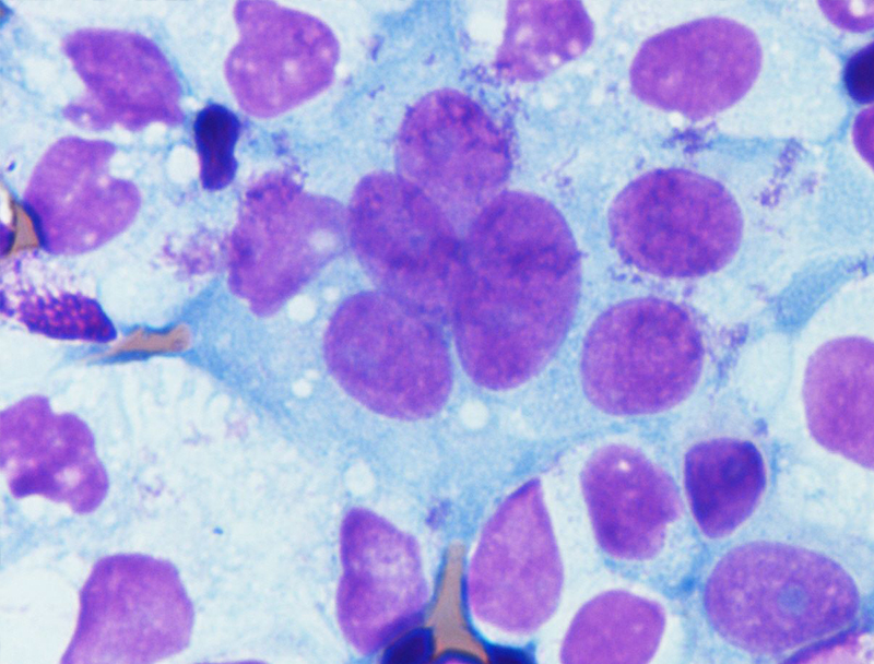
¸ÄÁ¼¼ªÄ·ÈøÈ¾É«ÊÇÒ»ÖÖÔÚҽѧºÍÉúÎïѧÁìÓò¹ã·ºÓ¦ÓõÄȾɫ¼¼Êõ£¬ÓÃÓÚ¶Ôϸ°ûºÍ×éÖ¯½øÐÐȾɫ£¬ÒÔ±ãÔÚÏÔ΢¾µÏ¸üÇåÎúµØ¹Û²ìÆäÐÎ̬ºÍ½á¹¹¡£ÒÔÏÂÊÇÆäÏà¹Ø½éÉÜ£º
ÔÀí
¼ªÄ·ÈøÈ¾ÁÏÓÉÌìÇà¡¢ÒÁºìµÈ¶àÖֳɷÖ×é³É¡£Ï¸°ûÖеIJ»Í¬³É·Ö¶ÔȾÁϵÄÇ׺ÍÁ¦²»Í¬£¬´Ó¶ø±»È¾³É²»Í¬µÄÑÕÉ«¡£ÀýÈ磬ϸ°ûºËÖÐµÄ DNA Óë¼îÐÔȾÁÏÇ׺ÍÁ¦½ÏÇ¿£¬»á±»È¾³É×ϺìÉ«£»Ï¸°ûÖÊÖÐµÄ RNA ÓëËáÐÔȾÁÏÇ׺ÍÁ¦½ÏÇ¿£¬³£±»È¾³ÉµÀ¶É«»ò·ÛºìÉ«¡£Í¨¹ýÕâÖÖ²îÒìȾɫ£¬¿ÉÒÔÇåÎúµØÇø·Öϸ°ûµÄ²»Í¬½á¹¹¡£
¸ÄÁ¼·½·¨¼°Óŵã
¸ÄÁ¼·½·¨£ºÔÚ´«Í³¼ªÄ·ÈøÈ¾É«µÄ»ù´¡ÉÏ£¬¶ÔȾɫҺµÄÅä·½¡¢È¾É«Ê±¼ä¡¢Î¶ȵÈÌõ¼þ½øÐÐÓÅ»¯ºÍ¸Ä½ø¡£ÀýÈ磬¿ÉÄÜ»áµ÷ÕûȾÁϵÄŨ¶È¡¢Ìí¼ÓijЩ¸¨ÖúÊÔ¼Á£¬»òÕ߸ıäȾɫµÄ²½Öè˳ÐòµÈ¡£
Óŵ㣺¸ÄÁ¼ºóµÄ¼ªÄ·ÈøÈ¾É«·½·¨Í¨³£¾ßÓиüºÃµÄȾɫЧ¹û£¬Äܹ»¸üÇåÎúµØÏÔʾϸ°ûµÄϸ΢½á¹¹£¬Ìá¸ßͼÏñµÄ¶Ô±È¶ÈºÍ·Ö±æÂÊ¡£Í¬Ê±£¬¸ÄÁ¼·½·¨¿ÉÄÜ»áËõ¶ÌȾɫʱ¼ä£¬Ìá¸ß¹¤×÷ЧÂÊ£¬²¢ÇÒ¶Ôϸ°ûµÄËðÉ˸üС£¬Äܹ»¸üºÃµØ±£³Öϸ°ûµÄÔÓÐÐÎ̬ºÍ½á¹¹¡£



