ÒÔÏÂÊǹØÓÚ Von Kossa ȾɫµÄÏêϸ½éÉÜ£º
»ù±¾ÐÅÏ¢
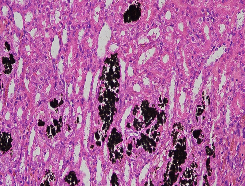
¶¨Ò壺Von Kossa ȾɫÊÇÒ»ÖÖÌØÊâµÄ×é֯ѧȾɫ¼¼Êõ£¬ÓÃÓÚ¼ì²â×éÖ¯ºÍÑù±¾ÖеĸÆÑγÁ»ý£¬ÓÈÆäÊÇÁ×Ëá¸Æ
ȾɫÔÀí£ºÀûÓÃÒøÀë×ÓÓë×éÖ¯ÖеÄÁ×Ëá¸ÆÑλò̼Ëá¸ÆÑη¢Éú·´Ó¦£¬ÔÚËáÐÔÌõ¼þÏ£¬¸ÆÑÎÖеĸÆÀë×Ó±»ÒøÀë×ÓÈ¡´ú£¬ÐγÉÁ×ËáÒø»ò̼ËáÒø³Áµí¡£ÕâÐ©ÒøÑγÁµíÔÚ¹âÕÕÌõ¼þÏ£¬»á·¢Éú¹â»¯Ñ§½µ½â·´Ó¦£¬±»»¹ÔΪºÚÉ«µÄ½ðÊôÒø¿ÅÁ££¬´Ó¶øÊ¹¸ÆÑγÁ»ý²¿Î»ÔÚÏÔ΢¾µÏ³ÊÏÖºÚÉ«»òרºÚÉ«£¬ÓëÖÜΧδ¸Æ»¯µÄ×éÖ¯ÐγÉÏÊÃ÷¶Ô±È¡£
Ⱦɫ²½Öè
Ñù±¾ÖƱ¸£ºÍ¨³£Ê¹Óø£¶ûÂíÁ̶ֹ¨×éÖ¯Ñù±¾£¬È»ºó½«ÆäǶÈëʯÀ¯ÖУ¬ÔÙÓÃÇÐÆ¬»úÇÐ³É 4-6 ΢Ã׺ñµÄÇÐÆ¬¡£
ÍÑÀ¯Ë®»¯£º½«ÇÐÆ¬ÒÀ´Î·ÅÈë¶þ¼×±½ ¢ñ¡¢¶þ¼×±½ ¢ò Öи÷ 20 ·ÖÖÓÒÔÈ¥³ýʯÀ¯£¬ÔÙÒÀ´Î¾¹ýÎÞË®ÒÒ´¼ ¢ñ¡¢ÎÞË®ÒÒ´¼ ¢ò ¸÷ 5 ·ÖÖÓ£¬75% ¾Æ¾« 5 ·ÖÖÓ½øÐÐË®»¯£¬×îºóÓÃ×ÔÀ´Ë®ºÍÕôÁóË®³åÏ´¸É¾»¡£
Ⱦɫ´¦Àí£º°ÑÇÐÆ¬½þÅÝÔÚº¬ 5% ÏõËáÒøµÄÈÜÒºÖУ¬±©Â¶ÓÚ¹âÔ´Ï£¬Ê±¼äͨ³£Îª 15-60 ·ÖÖÓ£¬¾ßÌåÈ¡¾öÓڸƻ¯³Ì¶ÈºÍ×éÖ¯ÀàÐÍ¡£
³åÏ´ÇÐÆ¬£ºÓÃÕôÁóË®³åÏ´ÇÐÆ¬£¬ÒÔÈ¥³ýδ·´Ó¦µÄÒøÀë×Ó¡£
ºËȾɫ£¨¿ÉÑ¡£©£ºÊ¹Óú˿ìºì»òºÕÂíÍÐÊÏÀ¶µÈȾÁ϶Ôϸ°ûºË½øÐÐȾɫ£¬ÒÔÌṩ¸üºÃµÄ×éÖ¯¶Ô±ÈºÍϸ½Ú¹Û²ì¡£
ÍÑˮ͸Ã÷£º½«ÇÐÆ¬Í¨¹ýŨ¶ÈµÝÔöµÄÒÒ´¼ÏµÁнøÐÐÍÑË®£¬ÔÙÓöþ¼×±½½øÐÐ͸Ã÷»¯´¦Àí¡£
·âƬ¹Û²ì£ºÓÃ͸Ã÷·âƬ½º½«ÇÐÆ¬·âƬ£¬È»ºóÖÃÓÚÏÔ΢¾µÏ¹۲죬¼Ç¼¸ÆÑεijÁ»ýÇé¿ö¡£



