±³¾°½éÉÜ£º¶àÄÒÂѳ²×ÛºÏÖ¢£¨Polycystic ovarian syndrome,PCOS£©ÊÇÉúÓýÄêÁ举Ů³£¼ûµÄÒ»ÖÖ¸´ÔÓµÄÄÚ·ÖÃÚ¼°´úлÒì³£Ëùֵﲲ¡£¬Ö÷ÒªÌØÕ÷ΪÂýÐÔÎÞÅÅÂÑ£¨ÅÅÂѹ¦ÄÜÎÉÂÒ»òɥʧ£©ºÍ¸ßÐÛ¼¤ËØÑªÖ¢£¨¸¾Å®ÌåÄÚÄÐÐÔ¼¤ËزúÉú¹ýÊ££©£¬ÁÙ´²±íÏÖΪÔ¾ÖÜÆÚ²»¹æÂÉ¡¢²»ÔС¢¶àëºÍ/»òðî´¯£¬ÊÇ×î³£¼ûµÄÅ®ÐÔÄÚ·ÖÃÚ¼²²¡¡£²ÉÓÃÆ¤ÏÂ×¢ÉäÍÑÇâ±íÐÛͪ½¨Á¢¶àÄÒÂѳ²×ÛºÏÕ÷Ä£ÐÍ£¬¹ý¸ßµÄÐÛ¼¤ËظÉÈÅÂÑÅݵÄÉú³¤³ÉÊ죬´Ó¶øµ¼Ö»úÌå²»ÅÅÂÑ£¬Í¬Ê±³öÏÖ¸ßÒȵºËØÑªÖ¢ºÍÒȵºËصֿ¹ÏÖÏó£¬ÓëÈËÀà¶àÄÒÂѳ²×ÛºÏÕ÷ÓÐÏàËÆÖ®´¦¡£

ͼ1 Ä£ÐÍʾÒâͼ
Ó¦Ó÷½Ïò£ºÉúֳϵͳÏà¹Ø¿ÎÌâ¡£
¹Ø¼ü´Ê£º¶àÄÒÂѳ²×ÛºÏÖ¢¡¢PCOS¡¢Polycystic ovarian syndrome
ʵÑ鶯Î´óÊóƷϵ£ºSD¡¢Wistar£»Ð¡ÊóƷϵ£ºC57BL/6¡¢BALB/C£»ÖÜÁ䣺3-6ÖÜ£»½öÏÞ´ÆÐÔ¡£
ÔìÄ£·½·¨£º´óÊóÿÌìÆ¤ÏÂ×¢ÉäÍÑÇâ±íÐÛͪ£¬Á¬Ðø×¢Éä20Ìì¡£

ͼ2 ÔìÄ£Á÷³ÌʾÒâͼ
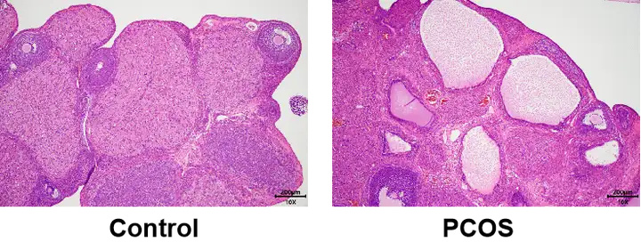
Ä£ÐÍÑéÖ¤£ºÕý³£×é´óÊóÂѳ²×éÖ¯ÖУ¬¿É¼û²»Í¬·¢ÓýʱÆÚµÄÂÑÅݺÍÉÙÁ¿»ÆÌ壬¿ÅÁ£Ï¸°ûÅÅÁÐÕûÆë£»Ä£ÐÍ×éÖУ¬¿É¼ûÏÔÖøÄÒ×´À©ÕÅÂÑÅÝ£¬¿ÅÁ£Ï¸°û²ãÊý¼õÉÙ£¬Î´³ÉÊìµÄСÂÑÅÝÊýÁ¿Ã÷ÏÔÔö¼Ó£¬ÂÑĸϸ°ûÏûʧ£¬±íÃ÷Ä£Ðͳɹ¦¡£

ͼ3 HEÄ£ÐÍÑéÖ¤£¨100X£©
²Î¿¼ÎÄÏ×£ºLi Yan, et al. Inhibition of Nicotinamide adenine dinucleotide phosphate oxidase 4 attenuates cell apoptosis and oxidative stress in a rat model of polycystic ovary syndrome through the activation of Nrf-2/HO-1 signaling pathway.[J] .Mol Cell Endocrinol, 2022, 550: 111645.£¨IF=3.871£©



